こっぴー銀座さいとう矯正歯科のマウスピース(インビザライン)矯正の経過を画像付きで紹介します


- 自然に整った顔を目指して美容医療や整形を実施
- 整形で失敗しないため日々情報収集
- 案件やステマなしで自分で選んで受けた施術を正直にレビュー
- 症例写真の加工×
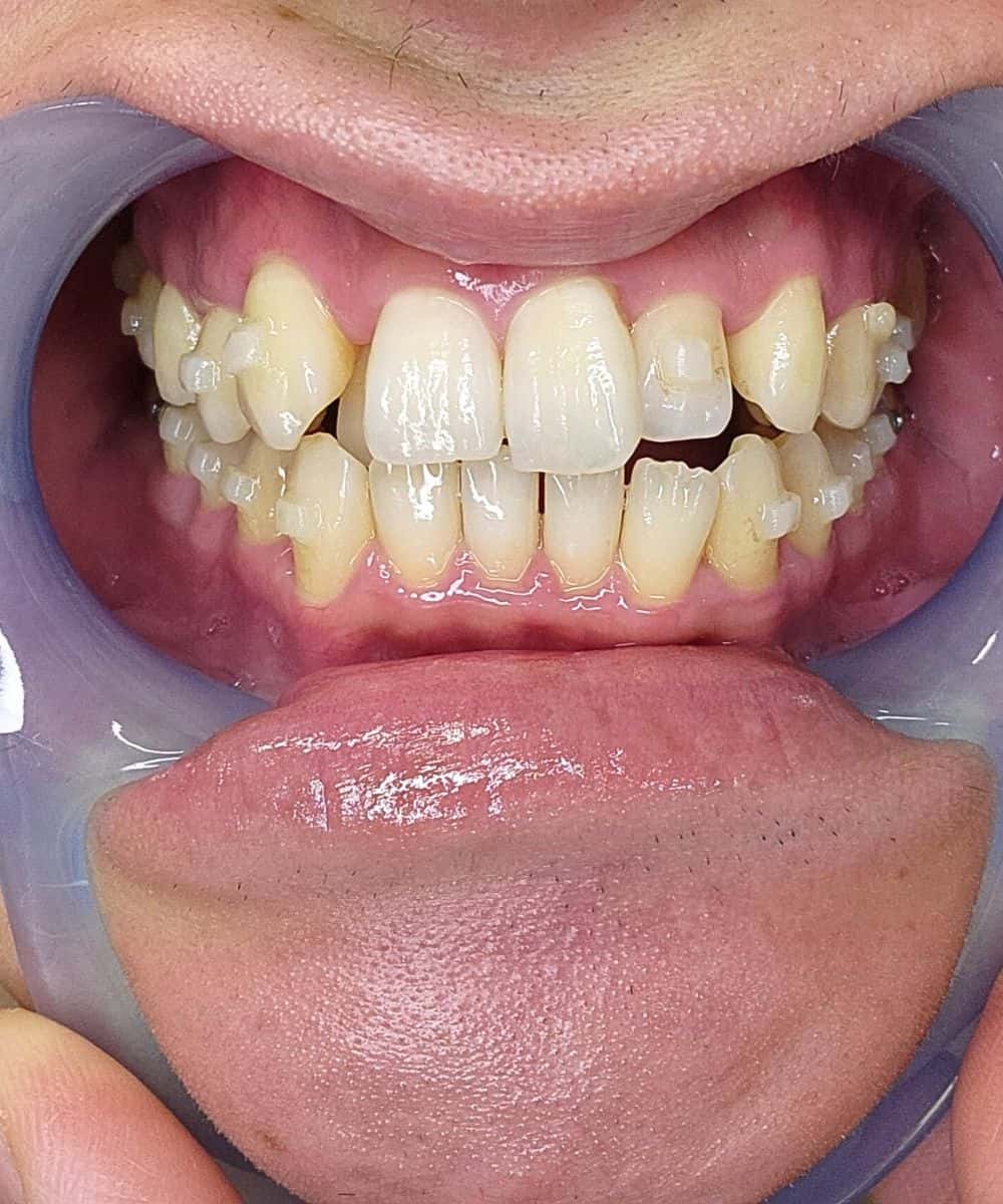
矯正前の状態
- 歯並びがデコボコ(叢生{そうせい})
- 右下の犬歯あたりが右前方向に傾いている
- 下あごが前に出ていて下唇が厚く見える
- バッカルコリドーが目立つ
歯並びの悪さ、下あごの突出と顔の左右差が大きな悩みでそれにプラスして歯列弓(アーチ)がV字に近い形のせいで歯の横の影(バッカルコリドー)が目立ちます。
左右差と歪みの原因は歯並びからくるものなのか顎骨の歪みからくるものなのかは分かりません、、、一応事前検査では顎変形症の診断はされませんでした。
【画像】接写で口腔内や毛穴が写っている為閲覧注意















できれば矯正治療で治ってほしいです、、、
矯正で目指したい歯並びと顔
- 顔の左右差がない
- バッカルコリドーがない
- しゃくれていない
- 上歯が下歯よりも若干前にある
- 上下の歯の正中線が揃っている
- 横から見た時の綺麗なEライン
- 上唇と下唇の厚みが均等に見える
掲載した画像は女性ですが歯並びと笑った時の歯の見え方が僕が目指している理想的な形です。
注目したいのがバッカルコリドー(歯の横の影)で笑った時にここの影がないと洗練された大人っぽい印象になります。
※画像は博多プライベートクリニックさんのHPより引用させていただきました
https://esaki-dental.com/sinbi/bucal-corridor



歯列弓(アーチ)を広げたり狭めたりするのは歯と顎骨の状態によって可否が決まるそうです
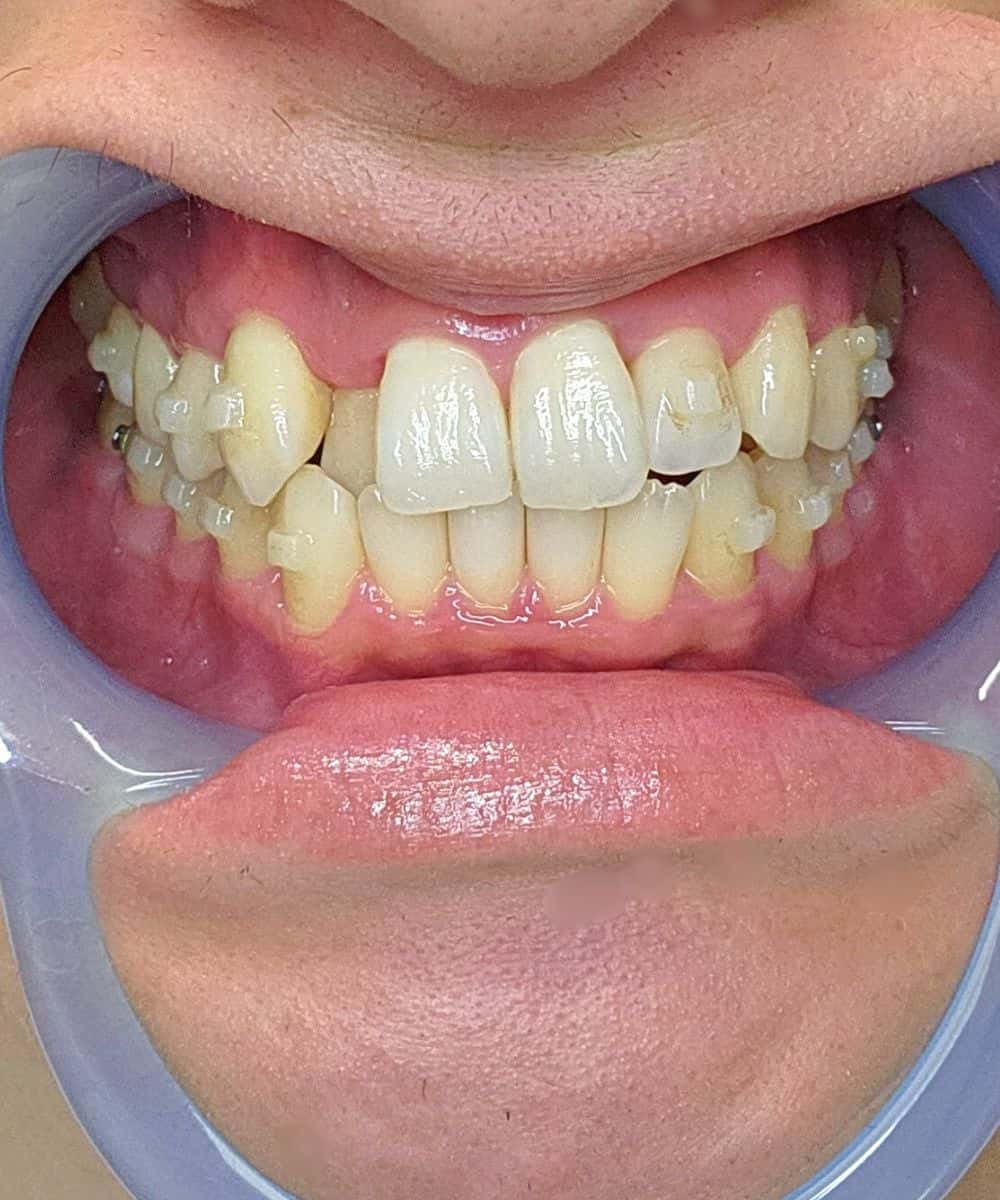
インビザライン矯正経過1枚~35枚
- マウスピース1枚~35枚ビフォーアフター画像
- 痛みはあるが我慢できる程度
- 交換サイクルを速めて失敗したこと



マウスピース1枚当たり5日着用が医院からの指示で僕は自己判断で3~4日で着用してました(※結論から言うと失敗、、、下に詳細書きます)
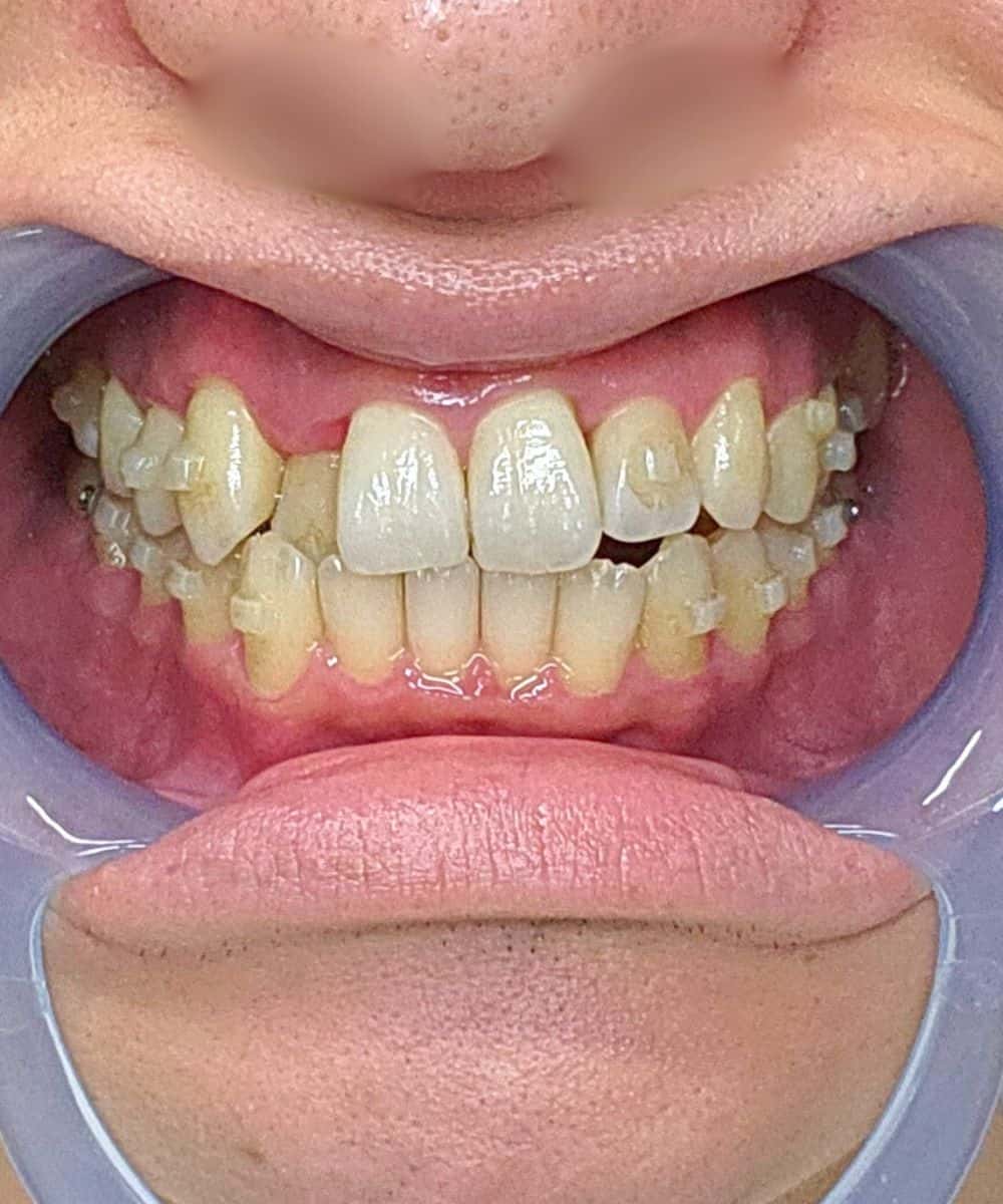
マウスピース1枚~35枚ビフォーアフター画像
【画像】接写で口腔内や毛穴が写っている為閲覧注意
痛みはあるが我慢できる程度
事前にマウスピース矯正について調べて色々な方の経験談から痛みはあるというのは覚悟していました。
そして銀座さいとう矯正歯科でカウンセリングを受けた時にマウスピース矯正はワイヤー矯正の1/10程度の痛みと聞いて多少油断していた部分もありますが結構痛いです。
例えると親知らずを抜歯して3日目くらいのズーンと歯に響く痛みがマウスピースを付けてから4日間続くといった感じでしょうか。
特に1枚~5枚の間は痛みが強く着用時も外して食べ物をかむ時も常に痛みがあります。
せんべいや肉などの歯ごたえのあるものは特に痛みが強く出るので食事がしんどかったです。
着用して5日以降は痛みも落ち着いて気にならなくなりますが新しいものに付け替えるたびに同じような痛みがループするので10枚分(約3ヶ月)は忍耐の毎日でしたね。
僕は痛みに弱いので大げさに聞こえるかもしれませんが眠れなくなるほどの痛みではないのでほとんどの人が大丈夫だと思います。
15枚以降は痛みもほとんど気にならなくなりストレスを感じなくなりました。食事の度にする着脱は面倒ですけど。
最初の頃は動きも大きくあごの骨も力がかかることに慣れていないので痛みがより強く出たんだと思います。



痛みと食事の度にするマウスピースの着脱が面倒なのが合わさって体重が2㎏くらい落ちました笑
交換サイクルを勝手に速めて失敗したこと
今回のマウスピース矯正は矯正加速装置使用で調整期間込み1年6ヶ月の治療計画でした。
通常の場合だとマウスピース交換は7日に1回で矯正加速装置を使うと1回あたりの期間が短縮されます。
医院からは加速装置を使用していてもマウスピースは5日間着用してくださいと言われていたのですが個人的にもっと早く終わらせたかったんです。
そしてある時治療に関する資料を見ていると“矯正加速装置ご利用の方は3日~4日で交換してください”という文言を発見。


マウスピースは付け替える初日は馴染みが悪く浮いた感じになりますが2日目以降は歯が動くのか徐々にはまりやすくなっていくのが体感として分かります。
マウスピース1枚当たりの歯の移動距離は決まっていて5日~7日で完了する計算らしく4日目くらいには”もう動ききったのでは?”っていうくらいはまりが良くなるんです。体感として。
それ以降独断で3日と12時間(3.5日)経過するごとにマウスピースを交換するようになったのですがこれが失敗の始まり。



感覚的にいけるとこのときは思っていたんです、、、
勝手な判断で交換日数を短くすることにしましたがただ短くするだけだとちゃんと歯が移動するか不安だったため加速装置を照射する回数を2倍に増やしました。
上下の左右各4分当てるので1セット16分を2回計32分間加速装置を照射します。
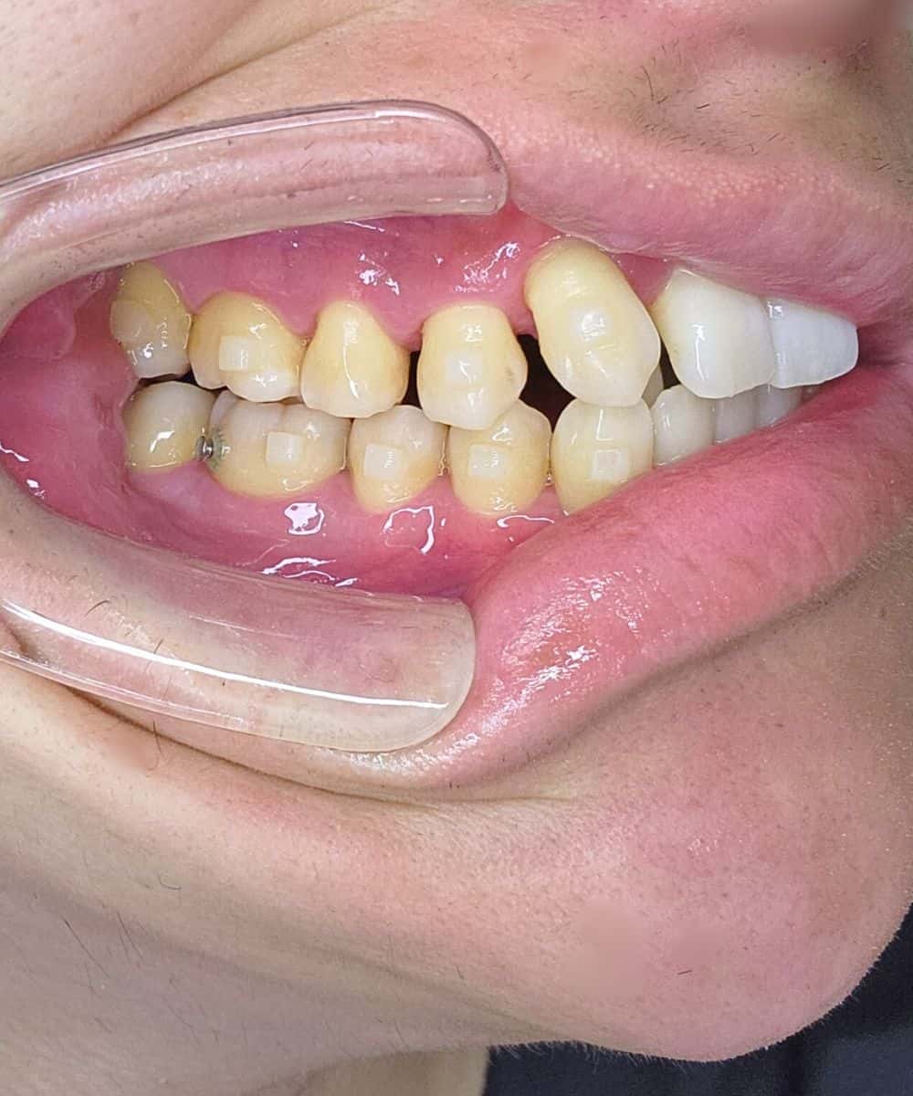
実際のところ3日目くらいには痛みもなくなりマウスピースのはまりが良くなっていたので体感では上手くいっていると思っていたのですが結果的にマウスピースの溝が歯についている突起にちゃんとはまらずに〇印の歯が奥に押されてしまいました。


35枚目終了後の検診の時に発覚し必ず5日間着用をしてくださいと検診を担当してくれた方にくぎを刺されそれ以降は期間を守ってしっかりとマウスピースを装着しています。
後日ラインで問い合わせたところ今の状態だったら修正できる範囲らしくマウスピースを着用していれば徐々に動きますと説明を受けました。





言われたことを守って自己判断で勝手なことをするのはやめた方が良いです、笑
インビザライン矯正経過40枚~
35枚目が終了した時点で下の歯を多少削りました。
歯を綺麗に並べる為に最低限削るそうでこれも最初のうちに説明されていたので不安も痛みもなく無事終了。
※現在矯正中の為45枚以降は都度更新していきます。
【画像】接写で口腔内や毛穴が写っている為閲覧注意











































